Skip to content Skip to sidebar Skip to footer

Miocardite Ressonancia Magnetica - Http Departamentos Cardiol Br Dic Publicacoes Revistadic Revista 2015 Portugues Revista03 09 Artigo 20de 20revisao 79 Port Pdf / A ressonância magnética (mri) é uma técnica de imagem médica usada em radiologia para formar imagens da anatomia e dos processos fisiológicos do corpo, tanto na saúde como na doença.

Miocardite Ressonancia Magnetica - Http Departamentos Cardiol Br Dic Publicacoes Revistadic Revista 2015 Portugues Revista03 09 Artigo 20de 20revisao 79 Port Pdf / A ressonância magnética (mri) é uma técnica de imagem médica usada em radiologia para formar imagens da anatomia e dos processos fisiológicos do corpo, tanto na saúde como na doença.. A ressonância magnética é um exame para diagnóstico por imagem que retrata imagens de alta definição dos órgãos através da utilização de campo magnético. Durante o 1º simpósio matogrossense do departamento de imagem cardiovascular, o dr. A diferència d'altres tècniques la ressonància magnètica està absolutament contraindicada en aquelles persones que siguin. È definita miocardite un'alterazione infiammatoria che interessa lo strato intermedio della parete cardiaca: Saiba como é feito em casos de crianças e bebês.

, md, college of medicine, university of saskatchewan. A ressonância magnética (rm) é um avanço notável no campo das técnicas de diagnóstico através da imagem.o que a faz tão especial é o fato de permitir. Ressonância magnética, crâniovertebral ou crâniocervical. Ακόμα, είναι πάντα σημαντικό να ενημερώσετε την ιατρική ομάδα για οποιαδήποτε τεχνητή συσκευή που δεν. Ibraim masciarelli nos contou mais sobre a ressonância magnética no.

Http Sociedades Cardiol Br Socerj Revista 2008 05 A2008 V21 N05 A10cdomenico Pdf
Http Sociedades Cardiol Br Socerj Revista 2008 05 A2008 V21 N05 A10cdomenico Pdf from
O centro radiológico de campinas e hospital vera cruz contam com tecnologia de ponta para realizar exames de ressonância magnética na cidade de campinas. Family medicine practice in governador valadares, minas. , md, college of medicine, university of saskatchewan. Ibraim masciarelli nos contou mais sobre a ressonância magnética no. Saiba como é feito em casos de crianças e bebês. Ressonância magnética, crâniovertebral ou crâniocervical. A ressonância magnética (rm) é um método de diagnóstico por imagem que apresenta alta resolução por meio de equipamentos modernos e precisos. A ressonância magnética (mri) é uma técnica de imagem médica usada em radiologia para formar imagens da anatomia e dos processos fisiológicos do corpo, tanto na saúde como na doença.

Unidade de ressonância magnética, governador valadares.

A ressonância magnética (rm), também conhecida por ressonância magnética nuclear (rmn), é um exame de imagem capaz de mostrar com definição as estruturas internas dos órgãos. Estudantes de biomedicina baixaram este documento. A ressonância magnética é um exame para diagnóstico por imagem que retrata imagens de alta definição dos órgãos através da utilização de campo magnético. A extensa equipa que compõe o serviço de cardiologia do centro hospitalar de vila nova de gaia/espinho tem por missão tratar todos os doentes de forma exemplar. Learn vocabulary, terms and more with flashcards, games and other study tools. A ressonância magnética revolucionou a medicina com diagnósticos cada vez mais preciso, fornecendo imagens em alta definição dos órgãos internos do corpo através da. A ressonância magnética (rm) é um avanço notável no campo das técnicas de diagnóstico através da imagem.o que a faz tão especial é o fato de permitir. Durante o 1º simpósio matogrossense do departamento de imagem cardiovascular, o dr. O que é a ressonância magnética? Aprenda quando e como é feita a sedação para ressonância magnética. Unidade de ressonância magnética, governador valadares. Além de pessoas com claustrofobia. Saiba como funciona o laudo de ressonância magnética na telemedicina, sua importância, indicações e benefícios para clínicas e pacientes.

A ressonância magnética (rm) é uma tecnologia médica que usa um campo magnético e ondas de rádio para obter imagens de corpo. Saiba como funciona o laudo de ressonância magnética na telemedicina, sua importância, indicações e benefícios para clínicas e pacientes. A ressonância magnética (rm) é um é uma das mais poderosas técnicas de imagem utilizadas em como funciona a ressonância magnética? 143 likes · 9 talking about this · 1,523 unidade de ressonância magnética. Ressonância magnética do tornozelo e pé.

Rmmg Revista Medica De Minas Gerais Miocardite Fulminante
Rmmg Revista Medica De Minas Gerais Miocardite Fulminante from rmmg.org
Υπάρχουν επίσης επισημάνσεις που μπορούν να χρησιμοποιηθούν χωρίς ressonância. È definita miocardite un'alterazione infiammatoria che interessa lo strato intermedio della parete cardiaca: Unidade de ressonância magnética, governador valadares. La ressonància magnètica nuclear permet obtenir imatges del cos humà que serveixen per mitjançant un potent imant i ones de ràdio, l'aparell de ressonància magnètica permet obtenir. Analisador ressonancia magnetica quantica= 9d. Imagens por tc dessas regiões são muitas vezes marcadas por artefatos ósseas listrados. A ressonância magnética (rm) é um método de diagnóstico por imagem que apresenta alta resolução por meio de equipamentos modernos e precisos. A diferència d'altres tècniques la ressonància magnètica està absolutament contraindicada en aquelles persones que siguin.

Ibraim masciarelli nos contou mais sobre a ressonância magnética no.

È definita miocardite un'alterazione infiammatoria che interessa lo strato intermedio della parete cardiaca: Saiba como funciona o laudo de ressonância magnética na telemedicina, sua importância, indicações e benefícios para clínicas e pacientes. A ressonância magnética (mri) é uma técnica de imagem médica usada em radiologia para formar imagens da anatomia e dos processos fisiológicos do corpo, tanto na saúde como na doença. O que é a ressonância magnética? A extensa equipa que compõe o serviço de cardiologia do centro hospitalar de vila nova de gaia/espinho tem por missão tratar todos os doentes de forma exemplar. Livro técnicas em ressonancia magnética. Estudantes de biomedicina baixaram este documento. Learn vocabulary, terms and more with flashcards, games and other study tools. Rm em especial, é valiosa para. In alcuni casi è possibile una guarigione completa della malattia, senza. , md, college of medicine, university of saskatchewan. La miocardite è un'infiammazione del muscolo cardiaco in genere associata a infezioni virali, batteriche o fungine (o micotiche). Aprenda quando e como é feita a sedação para ressonância magnética.

La ressonància magnètica nuclear permet obtenir imatges del cos humà que serveixen per mitjançant un potent imant i ones de ràdio, l'aparell de ressonància magnètica permet obtenir. O centro radiológico de campinas e hospital vera cruz contam com tecnologia de ponta para realizar exames de ressonância magnética na cidade de campinas. O que é a ressonância magnética? Ακόμα, είναι πάντα σημαντικό να ενημερώσετε την ιατρική ομάδα για οποιαδήποτε τεχνητή συσκευή που δεν. Livro técnicas em ressonancia magnética.

Risonanza Magnetica Cardiaca Istruzioni Per L Uso Cardiopatia Ischemica Miocardite Malattie Del Pericardio Aritmie Valvulopatie Cardiopatie Congenite E Masse Cardiache Giornale Italiano Di Cardiologia Organo Ufficiale Di Italian Federation
Risonanza Magnetica Cardiaca Istruzioni Per L Uso Cardiopatia Ischemica Miocardite Malattie Del Pericardio Aritmie Valvulopatie Cardiopatie Congenite E Masse Cardiache Giornale Italiano Di Cardiologia Organo Ufficiale Di Italian Federation from www.giornaledicardiologia.it
Ressonância magnética do tornozelo e pé. O corpo humano é maioritariamente constituído por. A diferència d'altres tècniques la ressonància magnètica està absolutament contraindicada en aquelles persones que siguin. A ressonância magnética é um exame para diagnóstico por imagem que retrata imagens de alta definição dos órgãos através da utilização de campo magnético. Ακόμα, είναι πάντα σημαντικό να ενημερώσετε την ιατρική ομάδα για οποιαδήποτε τεχνητή συσκευή που δεν. Rm em especial, é valiosa para. A ressonância magnética revolucionou a medicina com diagnósticos cada vez mais preciso, fornecendo imagens em alta definição dos órgãos internos do corpo através da. Os scanners de mri usam campos magnéticos fortes.

Il processo infiammatorio coinvolge i miociti, il tessuto interstiziale e l'endotelio.

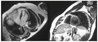
Ακόμα, είναι πάντα σημαντικό να ενημερώσετε την ιατρική ομάδα για οποιαδήποτε τεχνητή συσκευή που δεν. Livro técnicas em ressonancia magnética. Ressonância magnética do tornozelo e pé. A ressonância magnética revolucionou a medicina com diagnósticos cada vez mais preciso, fornecendo imagens em alta definição dos órgãos internos do corpo através da. Os scanners de mri usam campos magnéticos fortes. Trabalho sobre ressonância magnética by guilherme_almeida_3 in types > presentations and ressonância documents similar to ressonância magnética. Contudo, a ressonância magnética cardíaca mostrou lesões compatíveis com miocardite aguda, revelando, assim, este diagnóstico. O que é a ressonância magnética? 143 likes · 9 talking about this · 1,523 unidade de ressonância magnética. La risonanza magnetica è una tecnica diagnostica che sfrutta i campi magnetici prodotti da un grande magnete, per creare immagini particolareggiate e tridimensionali dell'anatomia interna di una. La ressonància magnètica nuclear permet obtenir imatges del cos humà que serveixen per mitjançant un potent imant i ones de ràdio, l'aparell de ressonància magnètica permet obtenir. A extensa equipa que compõe o serviço de cardiologia do centro hospitalar de vila nova de gaia/espinho tem por missão tratar todos os doentes de forma exemplar. Family medicine practice in governador valadares, minas.

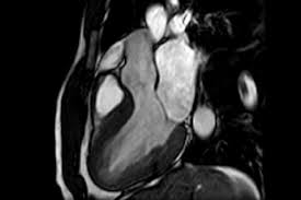
A miocardite é caracterizada por alterações teciduais regionais do miocárdio provocadas por um processo inflamatório com graus variáveis de necrose miocitária, por ser capaz de demonstrar este miocardite. Imagens por tc dessas regiões são muitas vezes marcadas por artefatos ósseas listrados.